Bilder Schiefe Zahne Schnuller
Keine Zahnfehlstellungen Trotz Schnuller Dentalmagazin De
Title Of The Page
Schiefe Zahne Wie Sie Entstehen Wieder Gerade Werden Dentolo
Dental Fx Bestie Zahne Maskworld Com
Gerade Zahne Ohne Spange Zahnkorrektur Moglichkeiten Schiefe Zahne
Sind Schnuller Schlecht Fur Die Zahne Maxcare
Stillen schützt laut einer aktuellen Studie vor Kiefer und Zahnfehlstellungen Milchfläschchen und Schnuller scheinen sich hingegen nachteilhaft auf die Gebissentwicklung auszuwi1.
Bilder schiefe zahne schnuller. MwSt Nr Rea Eingezahltes Gesellschaftskapital PEC dentalliquidkapital@legalmailit. Da sich Zähne und Kiefer in diesem Alter schnell entwickelt, reicht eine Mundvorhofplatte oft sogar als Behandlung aus Meist werden sie von Kindern gut akzeptiert, auch weil sie ein praktischer Ersatz für den Schnuller sind Vorzugsweise wird die Mundvorhofplatte ab dem vierten Lebensjahr angewendet Lückenhalter Ein Lückenhalter (oder. Probieren Sie aus, ob Sie Ihrem Kind Daumen oder Schnuller nach dem Einschlafen sanft aus dem Mund ziehen können Viele Kinder spucken den Schnuller auch von selbst nach ca Minuten Tiefschlaf aus bzw lassen den Daumen los Wacht Ihr Kind dadurch allerdings auf, lassen Sie es besser sein.
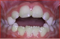
Und es werden von Jahr zu Jahr mehr Die Ursachen für schiefe Zähne sind dabei vielfältig Nicht selten sind sie auf die Zeit im Kindesalter zurückzuführen Hat ein Kind beispielsweise zu lange an Schnuller oder Daumen gelutscht, können später Probleme mit schiefen Zähnen auftreten. Der passende Sauger Suchtgefahr und schiefe Zähne Wie gefährlich sind Schnuller wirklich?. Erster Kommentar Suchtgefahr und schiefe Zähne Wie gefährlich sind Schnuller wirklich?.
Vorzeitiger Verlust von Milchzähnen oder umfangreiche Kariesschäden an Milchbackenzähnen, die Platzhalter für die bleibenden Zähne sind Die Tatsache, dass die Menschen früher (Neanderthaler oä) einen breiteren Kiefer hatten und sich die Zähne den modernen Verhältnissen nicht angepasst haben. Es gibt viele Kinder OHNE Schnuller die später schiefe Zähne haben und viele mit die nie ein Problem haben Mach dir bitte keine Vorwürfe Bis 3,5 Jahre soll es angeblich sowieso kein Problem sein. Im Schnitt passiert das rund um den 6 Lebensmonat Manchen Kindern bereitet das Zahnen Probleme und verursacht beispielsweise Schmerzen und Schlafstörungen, andere wiederum haben plötzlich den Nicht alle Schnuller machen schiefe Zähne Studie Nicht alle Schnuller machen schiefe Zähne Michael Schmitz 1644 Uhr 0 0.
Zähne machen Leute Oder Monster Kommt drauf an, für welche unserer falschen Zähne Ihr Euch entscheidet Denn mit den vielen verschiedenen, verfügbaren Varianten könnt Ihr Euch ganz nach Lust und Laune in einen schrägen Typen mit noch schrägeren Zähnen oder in ein Monster mit furchteinflößenden Beisserchen verwandeln Ork, Vampir, Werwolf und Zombie lassen grüßen!. Crowded Zähne, schiefe Zähne oder eine untaugliche Biss kann zu Schwierigkeiten beim Kauen von Nahrung Es kann auch erschweren Ausübung richtige Zahnpflege und das Risiko von Zahnfleischentzündungen, Karies und Hohlräume zu erhöhen Ihre Backen, Muskeln und Zähne können überbelastet, wodurch das Risiko von Bruch eines Zahnes. Denn Milchzähne sind Platzhalter für die späteren bleibenden Zähne Verliert Ihr Kind einen oder mehrere Milchzähne zu früh, besteht die Gefahr, dass die angrenzenden Zähne in die Lücke kippen oder wandern − die Lücke wird verengt oder ganz geschlossen Durch einen sogenannten Lückenhalter kann der Bereich bis zum Durchbruch des.
Hier kommen feste Zahnspangen zum Einsatz, wie das Pendulum, die Quadhelix und die GaumennahterweiterungsApparatur, oder die TRexApparatur für den Oberkiefer, der Lipbumper, der Distalizier oder der WilsonLingualbügel für den Unterkiefer Ihre Aufgabe ist es, Platz zu schaffen, damit letztendlich alle bleibenden Zähne optimal im Gebiss eingeordnet werden können. Frühzeitiger Milchzahnverlust – Bei frühzeitigem Milchzahnverlust, z B durch Karies oder Unfälle, beeinträchtigen die entstehenden Lücken nicht nur das Aussehen Die ersten Zähne fungieren als Platzhalter für die bleibenden Fehlen sie zu früh, können die verbleibenden Zähne in die Lücke „kippen“. Schiefe Zähne bei 9 Monate altem baby Halloich habe festgestellt, dass die Zähne meines Sohnes etwas schief sindes sieht manchmal so aus als würde er auf den oberen Schneidezähnen und unteren aufeinander beißenaußerdem sind Lücken zwischen den Zähnen er hat 3 Zähne oben draußen und ein Schneidezahn kommt gerade.
Frühzeitiger Milchzahnverlust – Bei frühzeitigem Milchzahnverlust, z B durch Karies oder Unfälle, beeinträchtigen die entstehenden Lücken nicht nur das Aussehen Die ersten Zähne fungieren als Platzhalter für die bleibenden Fehlen sie zu früh, können die verbleibenden Zähne in die Lücke „kippen“. Da sich Zähne und Kiefer in diesem Alter schnell entwickelt, reicht eine Mundvorhofplatte oft sogar als Behandlung aus Meist werden sie von Kindern gut akzeptiert, auch weil sie ein praktischer Ersatz für den Schnuller sind Vorzugsweise wird die Mundvorhofplatte ab dem vierten Lebensjahr angewendet Lückenhalter Ein Lückenhalter (oder. Schiefe Zähne durch Schnuller wirklich?.
Schiefwachsende Zähne ergeben Zahnprobleme und Zahnfleischprobleme, denn das Zahnfleisch kann durch schiefe Zähne (Zahnfehlstellungen) bzw bei einer nicht korrekten Zahnstellung verletzt werden, wenn man durch Bissanomalien auf die Schleimhaut beisst Auch Kauflächen können durch schräg gewachsene Zähne falsch belastet und stärker. Bestimmte Faktoren wie ungünstige Angewohnheiten (Daumenlutschen bzw der zu lange Gebrauch des Schnullers) oder eine genetische Veranlagung können diese allerdings negativ beeinflussen Auch eine falsche Zungenlage, falsche Schluckmuster oder eine überwiegende Mundatmung bewirken häufig eine Fehlentwicklung der Kiefer oder der Zähne. Zahn bekommen seitdem hat sie 8 Zähne bekommen Die beiden unteren vorderen Zähne sind nun auch da, aber sie sind beide ganz schief heraus gekommen Beide Zähne sind recht deutlich nach innen gedreht Ich habe jetzt zu hören bekommen, dass das durch den Schnuller kommt Antonia hat aber von Anfang an eher selten einen Schnuller bekommen.
Erkunde Sandra Stierbergers Pinnwand „Schnullerfee“ auf Weitere Ideen zu schnullerfee, fee, schnuller. Schiefe zähne ursache Anti Schnarchschien Die einzige medizinisch geprüfte Hilfe gegen Schnarchen 49,95 Zertifiziert von der Stiftung Gesundheit Lies, wie du dein Zähneknirschen loswirst!. Hierzu zählen beispielsweise schiefe Zähne vom Schnuller, wenn die Zunge auf die Vorderzähne drückt, Zähneknirschen, Daumenlutschen oder Stiftekauen Doch auch die Weisheitszähne können dafür verantwortlich sein, dass sich Zähne bei Erwachsenen verschieben Zähne, die sich drehen oder bewegen, sind daher auch mit 35, 40 oder 50 Jahren.
Schiefe Zähne und Sprachfehler drohen wurde noch im Alter von sechs mit dem Schnuller im Mund abgelichtet Auch ihre Eltern, Katie Holmes (36) und Tom Cruise (53) bekamen daraufhin heftigen. Kompositverblendungen gegen schiefe Zähne kosten 300 bis 00 € pro Zahn, während KeramikVeneers zwischen 1000 und 00 € pro Stück kosten Wenn Sie schiefe Zähne mit Veneers korrigieren möchten, können Sie hier mehr über diese Behandlung lesen und Bilder von Zähnen vor und nach der Behandlung mit Veneers sehen. 9 Januar 11 um 1932 Letzte Antwort 10 Januar 11 um 927 Hallo Ihr Lieben, mein Sohnemann hat einen MamSchnuller, da er auch keine anderen nimmt Momentan nuckelt er ständig dran, obwohl wir ihn tagsüber fast abgewöhnt hatte (bis auf Abends mal kurz).
Nicht alle Schnuller machen schiefe Zähne Michael Schmitz , 1644 0 0 Der Schnuller kann bei vielen Kleinkindern für Fehlstellungen der Zähne sorgen Foto HG Siemon Foto WR Witten/Herdecke Die Nachricht wird manche junge Eltern beruhigen Ein neuer Schnuller verhindert Zahnfehlstellungen bei kleinen Kindern. Nicht alle Schnuller machen schiefe Zähne Michael Schmitz , 1644 0 0 Der Schnuller kann bei vielen Kleinkindern für Fehlstellungen der Zähne sorgen Foto HG Siemon Foto WR Witten/Herdecke Die Nachricht wird manche junge Eltern beruhigen Ein neuer Schnuller verhindert Zahnfehlstellungen bei kleinen Kindern. Bei Kindern können Schnuller, Daumenlutschen oder früh fehlende Milchzähne Fehlstellungen bedingen Wir beraten Sie gern zur kieferorthopädischen Frühbehandlung Schiefe Zähne durch Daumenlutschen/Schnuller in Gerresheim?.
Mein Mann glaubt, unsere 2 jaehrige Tochter sollte dringendst den Schnuller abgewoehnt bekommen, weil ihre Zaehne ihm schief vorkommen Ich finde, das liegt bei ihm in der Familie, und hiess es nicht mal, dass Daumen nuckeln schiefe Zaehne "foerdert", aber Schnuller nicht???. Erkunde Sandra Stierbergers Pinnwand „Schnullerfee“ auf Weitere Ideen zu schnullerfee, fee, schnuller. Falsch ich habe auch schon einigen Eltern empfohlen dem Kind das Nuckeln abzugewöhnen, da man sehen konnte das es Schiefe Zähne bekommt da es auf dem Schnuller beißt usw Ich empfehle es nur in einigen fällen wie man oben lesen kann.
Schiefe Zähne gerade 'biegen' Klassisch ist der Kreuzbiss, der oft eine Folge das beliebten Schnuller oder Fläschchennuckelns ist Der Oberkiefer ist zu eng und der Unterkiefer weicht. Schiefe Zähne entwickeln sich mit dem Schnuller beispielsweise als sogenannter offener Biss Hierbei entsteht eine halbrundförmige Lücke zwischen den unteren und oberen Frontzähnen Bei der Frage zwischen Daumen oder Schnuller sollte zur Abgewöhnung deshalb auch der Schnuller gewählt werden. Browsing Schiefe Zähne durch Schnuller Autonomiephase / Kleinkinderzeit / Zähne Schnuller oder Angstentwöhnung?.
Huhu Man soll wenn der erste Zahn am durchbrechen ist schon zum Zahnarzt hingehen Ich war mit Julia auch erst später da weil sie eine Zahnfehlstellung hat die oberen 2 Schneidezähne hat sie eine Lücke die hats nicht zusammen gedrückt da sie ein breiteres Lippenbändchen hat aber man kann das mit einer Zahnspange nachkorrigieren. Ständiges Nuckeln an Beruhigungssauger („Schnuller“), Nuckelflasche oder Daumen ist jedoch ungesund Das Lutschen erzeugt im Mund einen Unterdruck, der Zähne und Kieferknochen langsam aber sicher aus der Form bringt – nach und nach werden aus den kleinen Tröstern Störenfriede. Erkunde Hass Pinnwand „Gebiss“ auf Weitere Ideen zu gebiss, reiten, pferd.
3 Februar 16, 1549 Meine Kinder haben bzw hatten beide Schnuller Die Große hat erst am 4 Geburtstag abgeschnullert und hat dennoch absolut gerade Zähne Die Kleine hat ihren noch zum Schlafen und hat leicht abstehende Schneidezähne. Liebe Userinnen, liebe User, schon bevor die Kinder geboren sind, hören wir die guten Ratschläge Schnuller fördern Karies, machen schiefe Zähne, lieb. Schiefe Zähne richten Die eigenen schiefen Zähne richten lassen, wird für die meisten Menschen sicherlich ein Horror sein, da bestimmt noch alte Bilder aus der Jugend hochkommen mit Klassenkameraden, die eine Zahnspange bzw Zahnklammer getragen haben und oft ewig gehänselt wurden.
Schiefe Zähne durch Schnuller?. Schiefe Zähne können unterschiedliche Ursachen haben Oftmals hervorgerufen durch vorzeitigen Milchzahnverlust, langes intensives Nuckeln oder angeborene Kieferfehlstellungen, bereiten schief die unsichtbare, flexible Zahnschiene korrigiert deine schiefen Zähne einfach schnell sicher kompetent begleitet durch die Zahnärztin oder den. Das geht ja gar nicht!.
Christian Koch hat Therapien ausprobiert, Experten interviewt und erklärt Wissenschaft Im Erwachsenenalter kommt es trotz kieferorthopädischer. Das geht ja gar nicht!. LII Lustige Schnuller die besten ⭐ Lustigen Schnuller im Test & Vergleich 100 Produkte von 01/21 im Überblick 100% unabhängig!.
Um Fehlstellungen von vorherein zu vermeiden, setzen wir in der Kinderbehandlung auf Prävention und sanfte Methoden mit Vorsorgeterminen zur Kontrolle von Sprechen, Schlucken und Zusammenbiss, Tipps für Sie als Eltern und bei Bedarf die Korrektur mit herausnehmbaren ZahnspangenAuch eine Überweisung zum Logopäden, Osteopathen, Ergo oder Physiotherapeuten kann angeraten sein. Amalia B sagt 7 März 17 um 1607 Uhr Vielen Dank für diesen Artikel Gut zu wissen, dass der Schnuller ab dem Zahnwachstum auf jeden Fall abgewöhnt werden. 3 Februar 16, 1549 Meine Kinder haben bzw hatten beide Schnuller Die Große hat erst am 4 Geburtstag abgeschnullert und hat dennoch absolut gerade Zähne Die Kleine hat ihren noch zum Schlafen und hat leicht abstehende Schneidezähne.
Ständiges Nuckeln an Beruhigungssauger („Schnuller“), Nuckelflasche oder Daumen ist jedoch ungesund Das Lutschen erzeugt im Mund einen Unterdruck, der Zähne und Kieferknochen langsam aber sicher aus der Form bringt – nach und nach werden aus den kleinen Tröstern Störenfriede. Wenn Milchzähne zu früh fehlen, beeinträchtigt dies nicht nur das Erscheinungsbild Sie spielen eine wichtige Rolle bei der Entwicklung der bleibenden Zähne, da sie als Platzhalter für diese fungieren Fehlen sie zu früh, beispielsweise durch Karies oder einen Unfall, können die verbleibenden Zähne in die Lücke „kippen“. Schiefe Zähne Fragen Sie Ihren Zahnarzt, ob Ihre Kopfschmerzen eventuell durch schiefe Zähne ausgelöst werden Falsches Zubeißen belastet das Kiefergelenk – und damit auch die Halswirbelsäule Mit speziellen Spangen kann der Kieferorthopäde die Zähne gerade rücken.
By Juli on 10 Januar 18 Klicke auf den Player und höre dir den Beitrag als Podcast an Kleinkinder im Alter von zwei Jahren und älter mit Schnuller im Mund?. Schiefe Zaehne vom Schnuller?. Schiefe zähne vermeiden nehmen Babys häufig den Daumen Ein Schnuller hat den Vorteil, dass Kinder einfach von ihm entwöhnt werden können Das sollte spätestens nach dem dritten Lebensjahr geschehen Wir empfehlen einen kieferfreundlichen Schnuller zu benutzen, um den Saugreflex schonend zu befriedigen Sehr seht nettes Team.
Browsing Schiefe Zähne durch Schnuller Autonomiephase / Kleinkinderzeit / Zähne Schnuller oder Angstentwöhnung?. By Juli on 10 Januar 18 Klicke auf den Player und höre dir den Beitrag als Podcast an Kleinkinder im Alter von zwei Jahren und älter mit Schnuller im Mund?. / Funbilder Lustige Bilder Schiefe Zähne Ich wünsche diesem Zahnspangenträger wirklich alles Gute, dass seine Zähne irgendwann wieder etwas mehr in die richtige Bahn geraten ∅ 0 bei 0 Bewertungen Weitere lustige Bilder Kommentare Geschrieben am So sehn meine Zähne aus!!!.
Schiefe Zähne durch Schnuller wirklich?. Schiefe Vorderzähne bei 3Jährigem Melden you2 Geändert am 6 Juni 19 um 0406 jui2 Du kannst jetzt nichts tun, du solltest zuerst auf die bleibenden Zähne warten Aber du kannst auch Schnuller und Daumen wegnehmen Kommentieren 1 Danke Danke Wir freuen uns über ein paar nette Worte als Dankeschön. Schiefe Zähne und Sprachfehler drohen wurde noch im Alter von sechs mit dem Schnuller im Mund abgelichtet Auch ihre Eltern, Katie Holmes (36) und Tom Cruise (53) bekamen daraufhin heftigen.
Schiefe Zähne können in den meisten Fällen relativ gut behandelt werden Bei der Behandlung selbst kommt es nur selten zu Komplikationen Die schiefen Zähne sollten allerdings schon im jungen Alter behandelt werden Hier kann der Arzt die Zähne noch mit einer Zahnspange richten und damit schiefen Zähne im höheren Alter vermeiden. Schiefe Zähne richten Die eigenen schiefen Zähne richten lassen, wird für die meisten Menschen sicherlich ein Horror sein, da bestimmt noch alte Bilder aus der Jugend hochkommen mit Klassenkameraden, die eine Zahnspange bzw Zahnklammer getragen haben und oft ewig gehänselt wurden. Probieren Sie aus, ob Sie Ihrem Kind Daumen oder Schnuller nach dem Einschlafen sanft aus dem Mund ziehen können Viele Kinder spucken den Schnuller auch von selbst nach ca Minuten Tiefschlaf aus bzw lassen den Daumen los Wacht Ihr Kind dadurch allerdings auf, lassen Sie es besser sein.
Schiefe Zähne gerade 'biegen' Zahn und Kieferfehlstellungen sind nicht nur eine Frage der Schönheit Kau und Kieferfunktion, Sprachbildung oder Atmung können langfristig. Wenn Milchzähne zu früh fehlen, beeinträchtigt dies nicht nur das Erscheinungsbild Sie spielen eine wichtige Rolle bei der Entwicklung der bleibenden Zähne, da sie als Platzhalter für diese fungieren Fehlen sie zu früh, beispielsweise durch Karies oder einen Unfall, können die verbleibenden Zähne in die Lücke „kippen“. Irgendwie wurden die Zähne danach auch wieder ziemlich schief Oben hab ich keinerlei Probleme mehr, da ist alles schön, aber unten verschieben die Zähne sich wieder Ich möchte in meinem Alter aber eigentlich auch keine Zahnspange mehr haben, ich war froh, dass ich den Kram endlich los war, habs daher mal unter "Nicht so dramatisch.
Gummy Smile Zahne Wohlbefinden
Schiefe Zahne Von Der Erstberatung Bis Zur Losung Zahnarztpraxis Dr Dino Biedermann
Guter Zahnarzt In Regensburg Zahnarzt Regensburg Zahnarzte In Regensburg Schnuller Als Ursache Fur Schiefe Zahne Und Kieferprobleme
Schiefe Zahne Durch Schnuller Archive Doppelkinder
Konsument At
Entstehung Von Zahnfehlstellungen Bei Kindern Und Jugendlichen Kieferorthopadische Praxis Dr Med Dent Peter Borg
Herobility Hpc006pw02 Schnuller 6m 2 Pack Rosa Amazon De Kuche Haushalt
Abgewohnen Von Schnuller Oder Daumen Die Besten Erziehungstipps Elternwissen Com
Daumenlutschen Harmlos Oder Schadlich Baby Und Familie
Zahnfehlstellungen Arten Ursachen Korrekturkosten
Wie Entsteht Ein Offener Biss Was Verursacht Ein Schnuller Youtube
Herobility Schnuller 6 Monate 4 Stuck Pink Weiss Baby Markt Ch
Zahnarztpraxis Barenklau Munchen Behandelt Zahnfehlstellung
Braucht Auch Ihr Kind Eine Zahnspange Zahnarztpraxis Risto Zahnarzt In Dresden Prohlis
Kieferfehlstellungen Zahnfehlstellungen Fehlstellung Der Zahne
Schiefe Zahne Mit Einer Zahnspange Behandeln Das Ist Zu Beachten
Zahnspange Kosten Bei Erwachsenen Und Reinigen
Zahnpflege Bei Kindern Diese Aspekte Sind Entscheidend Fur Die Zahngesundheit ᐅ esmutter Com
Wann Sind Zahnspangen Tatsachlich Erforderlich Heilpraxis
Wir Wollen Keine Schiefen Zahne Zahnarzt Munster Dr Wietzorke Kollegen
Aesthetic Smile Husum Praxis Fur Zahnmedizin Fruhbehandlung
Schnuller Zahne Negative Auswirkungen Auf Die Zahne
Patienten Zahnarztpraxis Michalides Lang
Schiefe Zahne Bei Kindern Praxis Fur Kieferorthopadie In Berlin Mitte Villa Donti
Jedes Zehnte Grundschulkind Betroffen Welche Krankheit Lasst Kinderzahne Zerbroseln Bildplus Inhalt Kind Familie Bild De
Wie Wichtig Ist Das Aussehen Der Zahne Beim Ersten Treffen Maxcare
Brauche Ich Eine Zahnspange Lohnt Es Sich Zahne Spange
Lustiger Schnuller Mit Krummen Zahnen Geschenkidee Sparzwerge De
Malokklusion Stockfotos Und Bilder Kaufen Alamy
Studie Stillen Wirkt Sich Positiv Auf Zahnstellung Aus Www Kinderaerzte Im Netz De
Schnuller Abgewohnen Sanft Liebevoll Mit Erfolg Schnuller Net
Lucke Zwischen Schneidezahnen Und Uberbiss Schiefe Zahne Gesundheit Und Medizin
Haufige Fehlstellungen
Kieferorthopadie Fur Kinder Jugendliche Praxis Illner
Zahnspange So Werden Schiefe Zahne Wieder Gerade Wellnessbedarf
Kieferfehlstellungen Bei Babys Und Kinder 360 Zahnspange
Schiefe Zahne Durch Daumenlutschen Schnuller In Bogenhausen
Schiefe Zahne Gesichtsmasken Spreadshirt
Die Sendung Mit Dem Elefanten Zahne Wdr Youtube
Dental Fx Zombie Teeth Maskworld Com
Zahnfehlstellungen Und Kieferfehlstellungen
Kinder Artodontics Ffm
Fruhbehandlung Dr Grammatidis Partner In Kirchheim Unter Teck
8 Schiefe Zahne Ideas
Daumenlutschen Schiefe Zahne Durch Schnuller In Lage
Malokklusion Stockfotos Und Bilder Kaufen Alamy
Alltagsfrage Warum Werden Zahne Schief Ratgeber Bild De
Vorbeugen Durch Fruhbehandlung
Schnuller Und Die Ersten Zahnchen Fratz Co
Schnuller Vor Und Nachteile Welches Modell Und Wie Lange Mamaclever De
Gerade Zahne Ohne Zahnspange Dentilus Zahnarztpraxis Zurich
Schiefe Zahne Problemzonen Im Kiefer Stern De
Lustige Schnuller Ab 1 07 Mit Versand Schiefe Zahne Schnurrbarte Sparzwerge De
Auf Das Lacheln Kommt Es An Das Geheimnis Schoener Zaehne
Daumenlutschen Abgewohnen Was Tun Gegen Daumenlutschen Familie De
Schiefe Zahne Zahnfehlstellung Das Muss Nicht Sein
Schnuller Abgewohnen Tipps Fur Sanfte Erfolgreiche Entwohnung
Von Lutschbeuteln Und Schnullerbaumen Die Geschichte Des Schnullers Babymarkt De
Der Richtige Schnuller Furs Baby Gesunde Kinderzahne Mit Prophylaxe
Bekommt Mein Kind Von Schnullern Schiefe Zahne
Der Richtige Schnuller Furs Baby Gesunde Kinderzahne Mit Prophylaxe
Kieferorthopadie Endlich Schone Zahne Das Sollten Sie Uber Zahnspangen Wissen Gesundheit
Schnuller Zahnfehlstellungen Auswirkungen Aufs Gebiss Netdoktor At
Treue Begleiter Mach S Gut Lieber Schnuller Eltern De
Dyvgfoy9zbpd8m
Kieferorthopadie Innodentum Zahnarzt Bochum
Nicht Alle Schnuller Machen Schiefe Zahne Wr De
Sanfte Schnullerentwohnung Ganz Ohne Schnullerfee
Suchtgefahr Schiefe Zahne Wie Gefahrlich Sind Schnuller
Zahnarzt Heilbronn Andre Varich Kieferorthopadie
Schnuller Abgewohnen So Geht Es Sanft Desired De
Schiefe Zahne Durch Daumenlutschen Oder Schnuller
Vorbeugung Von Schiefen Zahnen Und Zahnfehlstellungen Bei Kindern Und Jugendlichen Kieferorthopadische Praxis Dr Med Dent Peter Borg
Schnuller Oder Daumen Was Ist Besser Mutterberatung
Nicht Alle Schnuller Machen Schiefe Zahne Wr De
Grosse Kauleiste Schnuller Scherzgebiss Schnuller Fur Babys Horror Shop Com Horror Gebiss Scherz
Zahnspange Kosten Bei Erwachsenen Und Reinigen
Stillen Und Karies Still Lexikon
Schnullerentwohnung Wie Den Nuckel Abgewohnen
Mamaaaaaa Schau Mal Das Kind Hat Einen Schnuller Vom Daumennuckeln Und Schnullern Elternmorphose De
Schiefe Zahne Problemzonen Im Kiefer Stern De
Schnuller Fluch Oder Segen Schnuller Abgewohnen Schnuller Alltag Kinder
Offener Biss Invisalign Kreuzbiss Gaumennahterweiterung Invisaligntherapie
Silikon Baby Schnurrbart Grosse Zahne Schnuller Nuckel Bart Sauger Lustig Kinder Ebay
Zahnkrankheiten Bei Kindern Mama Mein Mund Tut Weh Stern De
Miss Denti Technische Details Youtube
Mundvorhofplatte Kieferorthopadische Kinderbehandlung
Schnuller Beruhigungssauger Kirsche Set Unbenutzt In Dresden Prohlis Babyausstattung Gebraucht Kaufen Ebay Kleinanzeigen
Herobility Schnuller 6 Monate 4 Stuck Pink Weiss Baby Markt Ch
Das Hilft Gegen Zahneknirschen Mit Entspannung Gegen Knirschen
Bei Schnullerkindern Ist Die Zahnspange Oft Vorprogrammiert
Die Kieferorthopadische Fruhbehandlung
Kieferorthopadie
Von Lutschbeuteln Und Schnullerbaumen Die Geschichte Des Schnullers Babymarkt De


