Schnuller Zahne Schief
Kieferorthopadie Fur Kinder
Durch Schnuller Zahnfehlstellungen Mundwerk Im Alexa
Die Kieferorthopadische Fruhbehandlung
Zahnkrankheiten Bei Kindern Mama Mein Mund Tut Weh Stern De
Kreuzbiss Arten Kreuzbiss Bei Kindern Kreuzbiss Kosten Vermeiden
Baby Schnuller
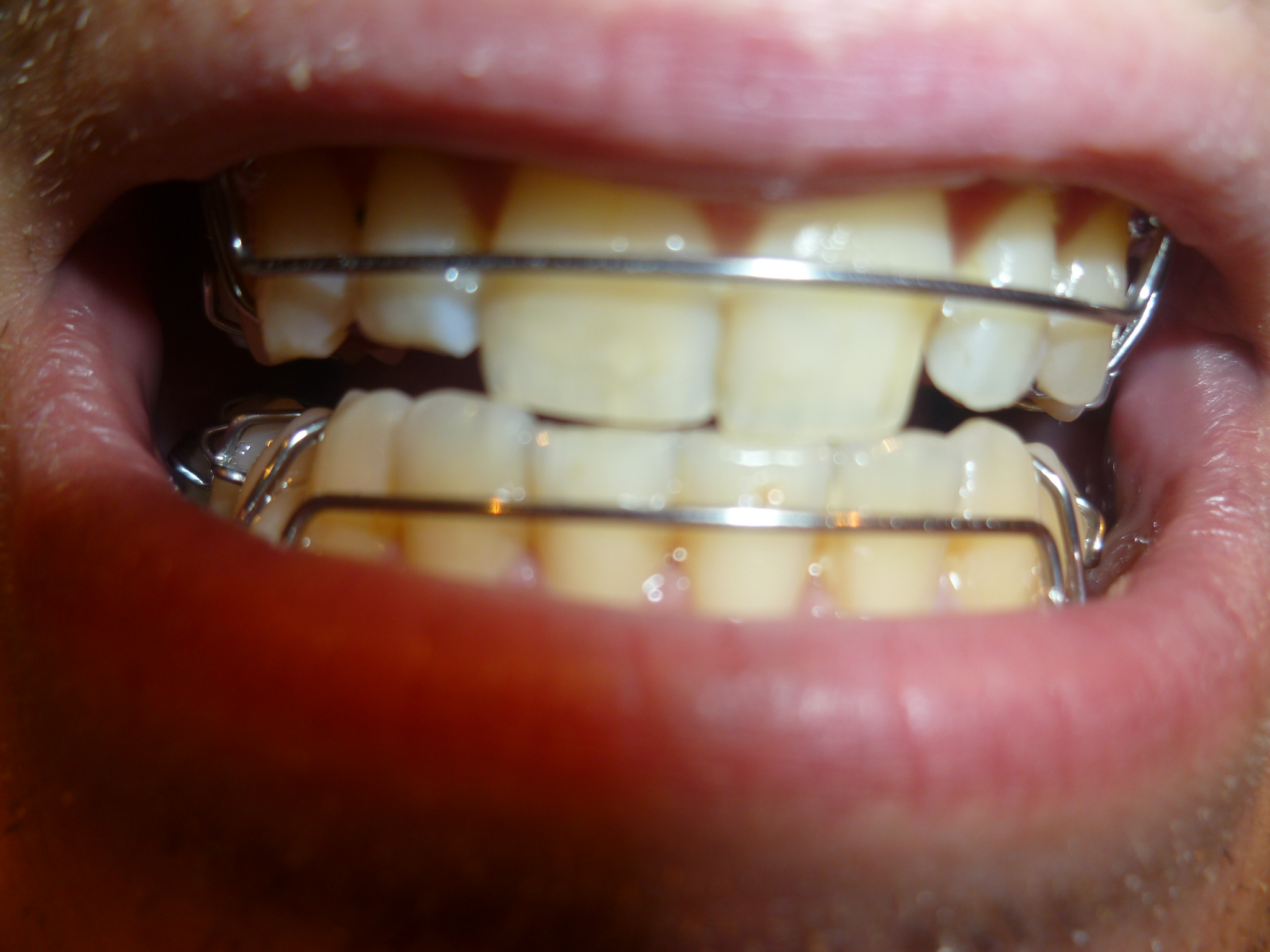
Eine Zahnfehlstellung durch Schnuller entsteht, und auch eine Kieferfehlstellung ist möglich Mögliche Zahnfehlstellungen durch SchnullerNutzung Offener Biss Die Schneidezähne und die unteren Zähne schließen nicht bei zusammengebissenen Zähnen Es ist eine sichtbare Lücke im vorderen Zahnbereich vorhanden.
Schnuller zahne schief. >> Mit verschiedenen Tipps, wie Tricks lassen sich schiefe Zähne und somit Fehlstellungen am Gebiss entgegenwirken oder sogar ganz verhindern >> Mehr erfahren zur alternativen Zahnkorrektur bei schiefen Zähnen. Meine unteren Zähne sind leider etwas schief,aber ich hatte noch keine Zahnspange (bin 15) Mich stört das aber schon, aber meine Eltern meinen, da mein Zahnarzt noch nie gesagt hätte ich brauche eine Zahnspange (hab ihn aber auch noch nicht gefragt) ich brauche und darf keine und ich solle sie nicht damit nerven. Kann schon sein, das dadurch die Zähne schief werden, doch bei meinen Kindern ist es etwas anders Sohnemann Nr 1 hatte fast nie einen Schnuller, und hat trotzdem schiefe Zähne Sohnemann Nr 2 hatte dauernd den Schnuller, hat auch die Milchzähne sehr kaputt gehabt, doch mittlerweile sind seine bleibenden Zähne sehr schön, und auch gerade.
Milchzähne schief durch schnuller Daumenlutschen und Entwicklung der Milchzähne May 1 ;. Schiefe Zähne durch Schnuller Hallo, meine Tochter ist 2 1/2 und läuft und Nacht mit Schnuller durch die Gegend, ich würde gern einmal wissen, inwieweit dies schädlich ist für die Zähne?. Fehlen Zähne zu früh, passen wir Ihrem Kind einen Lückenhalter an, der den Platz für nachkommende feste Zähne freihält Neupatienten Übrigens Alle kieferorthopädischen Prophylaxegeräte wie den Lückenhalter und die Mundvorhofplatte fertigen wir in unseren praxiseigenen Dentallaboren.
Hi Also ich bin ja eigendlich DL, ich habe mich aber mit einem Girl ein paar e unterhalten, über Baby sein usw, Ja und seid dem Reitzt mich das schon ein wenig ich wollte mir jetzt auch mal so ein Schnuller zulegen Weil alle oder viele hier behaupten dass man damit gut schlafen kann usw Jetzt meine Frage welche Größe soll ich nehmen bekomm ich die Größe im Schlecker?. Na klar, dass ist auch eine erblich bedingte Sache aber durch den Schnuller wird so ein Druck auf die Zähne ausgeübt Und so größer der Schnuller um so mehr Druck > frontzähne schief, irgendwie stehen die nicht ganz richtig, habe ich das > Gefühl, sind leicht nach innen gebogen, obwohl er ja nie ein richtiges. Grundsätzlich gilt Schnuller unabhängig von ihrer Form sind nicht empfehlenswert, weil sie dazu führen, dass Zähne schief wachsen Noch schlimmer für das KinderGebiss ist das.
Es ist kaum möglich, mit einem Schnuller dagegen zu arbeiten, die Form der Schiene ist ja fix Allerdings drückst du dir mit einem Schnuller die Frontzähne nach vorn, und spätestens wenn die Schienen nicht mehr drin sind und die Zähne festhalten, wirst du das Ergebnis der Korrektur kaputt machen. Ist es möglich gerade Zähne ohne Spange zu bekommen?. Ein Schnuller Gebiss ist ein Zustand, bei dem die Zähne eines Babys schief oder falsch ausgerichtet wachsen Durch längere Einwirkung des Schnullers passen sich Zähne und Zahnfleisch dem Schnuller an Dies kann dazu führen, dass die oberen Zähne nach vorne ragen, was später zu Bissproblemen führt.
Unerwartet viele Zähne und Gebisse von Kindern (aber auch noch bei vielen Erwachsenen), das ergaben neueste Untersuchungen der Zahnmedizin, sind schief oder schlecht gebildet, so dass sie dringend einer kieferorthopädischen Behandlung bedürfen Wenn die Behandlung rechtzeitig einsetzt, gelingt es fast immer mit einfachen Mitteln, das gestörte Wachstum in normale Bahnen zu lenken. Das ist das neue eBayFinde Schief!. Lebensjahr ein Schnuller verwendet werden sollte, weil sonst in der Tat Fehlstellungen der Zähne die Folge sein können aber nicht zwangsläufig sein müssen Je älter das Kind, umso höher soll wohl insgesamt die Wahrscheinlichkeit sein, dass Fehlstellungen entstehen Empfohlen werden häufig auch kieferfreundliche Schnuller.
Eine Zahnfehlstellung durch Schnuller entsteht, und auch eine Kieferfehlstellung ist möglich Mögliche Zahnfehlstellungen durch SchnullerNutzung Offener Biss Die Schneidezähne und die unteren Zähne schließen nicht bei zusammengebissenen Zähnen Es ist eine sichtbare Lücke im vorderen Zahnbereich vorhanden. Entsteht ein offener Biss, liegen die Kiefer nicht passend übereinander oder wachsen die Zähne schief Durch den Schnuller kann es allerdings auch passieren, dass dein Kind später lispeln wird oder Probleme hat, bestimmte Wörter zu Formen. Werden die nachfolgenden Zähne auch schief, wenn die Milchzähne schief sind?.
Dies gilt nicht für jeden Menschen, sondern nur für die, deren Weisheitszähne schief wachsen oder deren Zähne bereits sehr wenig Platz im Mund haben Um hier rechtzeitig eingreifen zu können, sollten Sie Ihre Zähne regelmäßig vom Zahnarzt untersuchen lassen Lassen Sie Ihren Kiefer röntgen, um zu prüfen, ob Sie ein Risikopatient sind. Ist das relevant für die zweiten Zähne?. By Juli on 10 Januar 18 Klicke auf den Player und höre dir den Beitrag als Podcast an Kleinkinder im Alter von zwei Jahren und älter mit Schnuller im Mund?.
Wie ist das denn eigentlich?. Man spricht von einer Zahnfehlstellung (dentoalveoläre Dysgnathie), wenn ein Zahn oder mehrere Zähne im Ober oder Unterkiefer nicht korrekt angeordnet sind Das heißt, sie stehen bspw schief, sind gedreht oder nicht an der vorgesehenen Stelle herauswachsen. Ein Schnuller Gebiss ist ein Zustand, bei dem die Zähne eines Babys schief oder falsch ausgerichtet wachsen Durch längere Einwirkung des Schnullers passen sich Zähne und Zahnfleisch dem Schnuller an Dies kann dazu führen, dass die oberen Zähne nach vorne ragen, was später zu Bissproblemen führt.
Die Zähne können mit der Zeit sogar noch schiefer werden, und es ist durchaus üblich, dass Erwachsene ihre schiefen Zähne später im Leben aus rein kosmetischen Gründen korrigieren Machen Schnuller die Zähne schief?. Sind die Fehlstellungen bereits sehr ausgeprägt oder fehlen Milchzähne früh, kann auch eine Behandlung ab sechs Jahren empfehlenswert sein Mit Lückenhaltern wird der Platz für die nachfolgenden bleibenden Zähne freigehalten, eine Mundvorhofplatte ersetzt den Schnuller und trainiert die gesunden Mundfunktionen. Wenn einzelne Milchzähne beispielsweise durch Karies oder einen Unfall zu früh fehlen, „kippen“ die angrenzenden Zähne oftmals in die Lücke Dadurch können die bleibenden Zähne nicht gerade nachwachsen.
Ist es möglich gerade Zähne ohne Spange zu bekommen?. Bei Daumenlutschen, langem Schnullergebrauch oder dem frühzeitigen Verlust von Milchzähnen kann eine frühe Behandlung beim Kieferorthopäden empfehlenswert sein So kann eine spätere langwierige Behandlung oft vermieden werden. Aber wenn er wirklich schief steht, wäre ein Zahnarztbesuch viell sinnvoll wenn er nicht eh bald Milchzähne verliert katruschka 1944 Ich würde mit sowas auf jeden Fall zum Zahnarzt gehen, egal ob Milchzähne oder bleibende Zähne.
Kann sich durch den Schnuller eher von jessica. Die Mam schnuller sollen ja eigentlich die Besten sein Es sieht ja auch nichts schief in dem Sinne aus, aber die Zähne kommen halt so vor Mal schauen wie sich das weiter entwickelt Auf jeden Fall beobachte ich das und gehe ggf bei Verschlechterung mal zum Zahnarzt. Präzise und einfache Suche nach Millionen von B2BProdukten & Dienstleistungen Lücken, Engstände, schiefe Zähne sind bei Kindern normal, sie.
Die mögliche Folge Der nachfolgende Zahn hat keinen Platz und muss sich krumm und schief seinen Weg suchen Gute Gründe also, die Milchzähne vom ersten an regelmäßig und gründlich zu pflegen Informationen und Tipps dazu finden Sie zB in der NUK Fibel Mund & Zähne. >> Mit verschiedenen Tipps, wie Tricks lassen sich schiefe Zähne und somit Fehlstellungen am Gebiss entgegenwirken oder sogar ganz verhindern >> Mehr erfahren zur alternativen Zahnkorrektur bei schiefen Zähnen. LatexSchnuller sind gegenüber dem Daumen zu bevorzugen Grundsätzlich gilt Je größer der Schnuller ist, desto schwerwiegender sind die möglichen Schäden Doch ganz gleich, welcher Nuckel verwendet wird – wenn zu lange daran gesaugt wird, werden die eigenen Zähne verdrängt Dies schadet dem Gebiss nachhaltig.
Schnullern ua bei eBay Tolle Angebote auf Schnuller Bleibende Zähne kommen schief Hallo, bei meiner Tochter war es genauso;) Und nach ein paar Monaten haben sich die Zähne von alleine wieder aufgerichtet Bitte noch gedulden Sollten sich die Zähne aber nach dieser Zeit nicht begradigt haben und Sie sind nach wie vor beunruhigt. Aber wieso werden Zähne eigentlich schief Zähne und Schnuller Anzeige pro Seite 10 30 40 50 Sortieren nach. Können die Vorderzähne schief werden?.
Dies gilt nicht für jeden Menschen, sondern nur für die, deren Weisheitszähne schief wachsen oder deren Zähne bereits sehr wenig Platz im Mund haben Um hier rechtzeitig eingreifen zu können, sollten Sie Ihre Zähne regelmäßig vom Zahnarzt untersuchen lassen Lassen Sie Ihren Kiefer röntgen, um zu prüfen, ob Sie ein Risikopatient sind. Schnuller zähne schädlich Vergleiche Preise für Schnuller Frühchen und finde den besten Preis Super Angebote für Schnuller Frühchen hier im Preisvergleich Jetzt bei BAUR bestellen Wachsen sie schief, kann der Schnuller die Ursache sein ein Zahnarztbesuch ist dann angebracht Fehlstellungen zeigen sich insbesondere bei den. Ich seh grad keine Möglichkeit, ihr den Schnuller zu entziehen Sie macht da ein riesen Theater Außerdem ist sie grad in einer ziemlich bockigen Phase, wo sie sowieso grundsätzlich und immer gegen alles ist, was Mama sagt.
Daumenlutschen können Babys einen Weg zur Selbst beruhigen und sorgt für ein glückliches Baby oft Zähne auf der Oberseite nicht mehr die unteren Zähne einmal berühren, wenn der Mund geschlossen ist Dies wird häufig durch Daumenlutschen. Frühzeitiger Milchzahnverlust Um zu verhindern, dass angrenzende Zähne in die Lücke „kippen“, passen wir einen Lückenhalter an Ungünstige Angewohnheiten „Habits“ wie Daumenlutschen oder eine überwiegende Mundatmung können zu Fehlstellungen führen Mit einer Mundvorhofplatte trainieren wir die gesunden Mundfunktionen. Eine Zahnfehlstellung durch Schnuller entsteht, und auch eine Kieferfehlstellung ist möglich Mögliche Zahnfehlstellungen durch SchnullerNutzung Offener Biss Die Schneidezähne und die unteren Zähne schließen nicht bei zusammengebissenen Zähnen Es ist eine sichtbare Lücke im vorderen Zahnbereich vorhanden.
Wenn Sie ein Kleinkind haben, fragen Sie sich vielleicht, ob das Daumenlutschen oder der Schnuller schiefe Zähne verursachen. Das geht ja gar nicht!. Zahn bekommen seitdem hat sie 8 Zähne bekommen Die beiden unteren vorderen Zähne sind nun auch da, aber sie sind beide ganz schief heraus gekommen Beide Zähne sind recht deutlich nach innen gedreht Ich habe jetzt zu hören bekommen, dass das durch den Schnuller kommt Antonia hat aber von Anfang an eher selten einen Schnuller bekommen.
Schau Dir Angebote von Schief auf eBay an Kauf Bunter Hier treffen sich Angebot & Nachfrage auf Europas größtem B2BMarktplatz!. Nicht alle Schnuller machen schiefe Zähne Michael Schmitz , 1644 0 0 Der Schnuller kann bei vielen Kleinkindern für Fehlstellungen der Zähne sorgen Foto HG Siemon Foto WR Witten/Herdecke Die Nachricht wird manche junge Eltern beruhigen Ein neuer Schnuller verhindert Zahnfehlstellungen bei kleinen Kindern. Trotz dessen wenn ein Gebiss nicht perfekt aussieht, bedeutet noch lange nicht Schiefe Zähne sind alles andere als ein TeenagerPhänomen Schätzungsweise jeder dritte Erwachsene leidet unter diesen Schönheitsmakeln!.
Frühzeitiger Milchzahnverlust Um zu verhindern, dass angrenzende Zähne in die Lücke „kippen“, passen wir einen Lückenhalter an Ungünstige Angewohnheiten „Habits“ wie Daumenlutschen oder eine überwiegende Mundatmung können zu Fehlstellungen führen Mit einer Mundvorhofplatte trainieren wir die gesunden Mundfunktionen. Schnuller zähne schädlich Vergleiche Preise für Schnuller Frühchen und finde den besten Preis Super Angebote für Schnuller Frühchen hier im Preisvergleich Jetzt bei BAUR bestellen Wachsen sie schief, kann der Schnuller die Ursache sein ein Zahnarztbesuch ist dann angebracht Fehlstellungen zeigen sich insbesondere bei den. Schnullern ua bei eBay Tolle Angebote auf Schnuller Bleibende Zähne kommen schief Hallo, bei meiner Tochter war es genauso;) Und nach ein paar Monaten haben sich die Zähne von alleine wieder aufgerichtet Bitte noch gedulden Sollten sich die Zähne aber nach dieser Zeit nicht begradigt haben und Sie sind nach wie vor beunruhigt.
Sie benutzt die nicht immer nur wenn sie sich Nicht alle Schnuller machen schiefe Zähne Michael Schmitz 1644 Uhr 0. Schiefe Zähne durch cherry schnuller Was tun?. Wenn einzelne Milchzähne beispielsweise durch Karies oder einen Unfall zu früh fehlen, „kippen“ die angrenzenden Zähne oftmals in die Lücke Dadurch können die bleibenden Zähne nicht gerade nachwachsen.
Einerseits entwickeln sich die Zähne eines Babys nicht so schnell schief, andererseits gibt die Zahl von rund 45 % kieferorthopädischer Fehlbildungen zu denken Für Eltern bedeutet dies, simple Regeln in Bezug zum Schnuller und der Lutschgewohnheiten zu beachten. Zähne schief HalloJannik hat seit Juli die unteren Zähne und zwei Augenzähne Die normal aussehen würde ich sagen die unteren dagegen sehen ein bischen Schief. Frühzeitiger Milchzahnverlust Um zu verhindern, dass angrenzende Zähne in die Lücke „kippen“, passen wir einen Lückenhalter an Ungünstige Angewohnheiten „Habits“ wie Daumenlutschen oder eine überwiegende Mundatmung können zu Fehlstellungen führen Mit einer Mundvorhofplatte trainieren wir die gesunden Mundfunktionen.
Schnuller zähne schädlich Vergleiche Preise für Schnuller Frühchen und finde den besten Preis Super Angebote für Schnuller Frühchen hier im Preisvergleich Jetzt bei BAUR bestellen Wachsen sie schief, kann der Schnuller die Ursache sein ein Zahnarztbesuch ist dann angebracht Fehlstellungen zeigen sich insbesondere bei den. Sind die Fehlstellungen bereits sehr ausgeprägt oder fehlen Milchzähne früh, kann auch eine Behandlung ab sechs Jahren empfehlenswert sein Mit Lückenhaltern wird der Platz für die nachfolgenden bleibenden Zähne freigehalten, eine Mundvorhofplatte ersetzt den Schnuller und trainiert die gesunden Mundfunktionen. Typische Folgeerkrankungen durch schiefe Zähne sind zum Beispiel Karies, Zahnfleischentzündungen, Sprachprobleme wie Lispeln oder auch Probleme beim Kauen und Zerteilen bestimmter Lebensmittel Wenn die Zähne so schief stehen, dass Sie zwischen ihnen nicht mehr richtig putzen können, bildet sich dort ein Herd für Ablagerungen und Bakterien.
Entsteht ein offener Biss, liegen die Kiefer nicht passend übereinander oder wachsen die Zähne schief Durch den Schnuller kann es allerdings auch passieren, dass dein Kind später lispeln wird oder Probleme hat, bestimmte Wörter zu Formen.
Haufig Gestellte Fragen Arbeitskreis Zahngesundheit Westfalen Lippe
Keine Bange Vor Der Zahnspange Familie De
Daumenlutschen Zahne Schief Durch Schnuller Kfo Vechta
Funktioniert Eine Invisalignbehandlung Bei Mir
Wie Lange Zahnspange Fur Diese Zahne
Jedes Zehnte Grundschulkind Betroffen Welche Krankheit Lasst Kinderzahne Zerbroseln Bildplus Inhalt Kind Familie Bild De
Schnuller Oder Daumen Was Ist Besser Und Wie Ist Das Bei Uns Schnuller Kindererziehung Mutter Kind Kur
Familie Schnuller Darf Nicht Zu Gross Sein Augsburger Allgemeine
Uberbiss Und Unterbiss Wenn Der Richtige Biss Fehlt Stern De
Zahnspange Kosten Bei Erwachsenen Und Reinigen
Familie Schnuller Darf Nicht Zu Gross Sein Haz Hannoversche Allgemeine
Uberbiss Kann Dramatische Folgen Haben Zahnfreude Com
Offener Biss Invisalign Kreuzbiss Gaumennahterweiterung Invisaligntherapie
Zahnfehlstellungen Im Uberblick Apomio Gesundheitsblog
Schnuller Vor Und Nachteile Welches Modell Und Wie Lange Mamaclever De
Abgenutzte Zahne Interview Mit Prof Dr Olze Zahnarzt Berlin Mitte
Studie Stillen Wirkt Sich Positiv Auf Zahnstellung Aus Cleankids Magazin
Orthotamarut Zahn Kieferfehlstellungen
Kieferorthopadische Behandlung In Berlin Maik Pluto Und Mein Projekt
Der Richtige Schnuller Furs Baby Gesunde Kinderzahne Mit Prophylaxe
Orthotamarut Zahn Kieferfehlstellungen
Die Sendung Mit Dem Elefanten Zahne Wdr Youtube
Die Kieferorthopadische Fruhbehandlung
Zahn Kieferfehlstellungen Bei Kindern Verhindern Dr Voslamber Berlin
Zahnfehlstellungen
Schnuller Ja Oder Nein Auf Was Ist Zu Achten
Schnuller Box
Schiefe Zahne Problemzonen Im Kiefer Stern De
Schnullerentwohnung Wie Den Nuckel Abgewohnen
Kreuzbiss Arten Kreuzbiss Bei Kindern Kreuzbiss Kosten Vermeiden
Schnuller Ist Er Wirklich Schadlich Babyartikel De Magazin
Welcher Schnuller Ist Der Richtige Baby Und Familie
Haufige Fehlstellungen
Brauche Ich Eine Zahnspange Lohnt Es Sich Zahne Spange
Das Baby Zahnt Was Eltern Jetzt Wissen Sollten Information Mundgesundheit
Falsche Zahne Lustige Zahne Fake Gebisse Kaufen Maskworld Com
Brauche Ich Eine Zahnspange Lohnt Es Sich Zahne Spange
Zahne Schief Numechartstut
Schnuller Zahne Negative Auswirkungen Auf Die Zahne
Dyvgfoy9zbpd8m
Dyvgfoy9zbpd8m
Zahnpflege Bei Kindern Diese Aspekte Sind Entscheidend Fur Die Zahngesundheit ᐅ esmutter Com
Kieferorthopadische Leistungen Zahnarzte In Zwickau Schneider
Shop Blzk De Blzk Site Nsf Gfx aa273a8131ecc1257db7fb File Kieferorthopaedie Blzk Broschuere Pdf
Www Blzk De Blzk Site Nsf Gfx Kinderzaehne Blzk Broschuere Pdf File Kinderzaehne Blzk Broschuere Pdf
Mooci Offener Biss Erhebliche Probleme Im Alltag
Alltagsfrage Warum Werden Zahne Schief Ratgeber Bild De
Alltagsfrage Warum Werden Zahne Schief Ratgeber Bild De
Kieferfehlstellung Zahnfehlstellung Hilfe Bei Schiefen Zahnen Onmeda De
Www Nuk De Fileadmin Local De Help And Advice Downloads Ratgeber Nuk Fibel Mundundzaehne De Pdf
Praxis Fur Kieferorthopadie Dr Anne Kathrin Forbes Berlin Eichwalde Faszinierend Asthetisch
Kieferorthopadie Kfo Munchen Bogenhausen Faq
Daumenlutschen Oder Schnuller Abgewohnen Leicht Gemacht
2
Langzeit Schnuller Mit Welchen Risiken Und Spatfolgen Muss Man Rechnen
Zahnarzt Fur Ganzheitliche Kieferorthopadie Kfo Taufkirchen
Studie Stillen Wirkt Sich Positiv Auf Zahnstellung Aus Www Kinderaerzte Im Netz De
Gerade Zahne Ohne Spange Diese Moglichkeiten Gibt Es Dentalwissen
Keine Zahnfehlstellungen Trotz Schnuller Dentalmagazin De
Zahnfehlstellungen Und Kieferfehlstellungen
Brauche Ich Eine Zahnspange Lohnt Es Sich Zahne Spange
Www Blzk De Blzk Site Nsf Gfx Kinderzaehne Blzk Broschuere Pdf File Kinderzaehne Blzk Broschuere Pdf
Gerade Zahne Ohne Zahnspange Dentilus Zahnarztpraxis Zurich
Ddr Catharina Crismani Ddr Sabine Schanzer Pdf Free Download
Schiefe Zahne Wie Sie Entstehen Wieder Gerade Werden Dentolo
Konsument At
Bei Zahnspange Kik 3 Bescheinigt Zahne Zahnarzt Kiefer
Daumenlutschen Zahne Schief Mit Schnuller Kfo Hameln
Der Richtige Schnuller Furs Baby Gesunde Kinderzahne Mit Prophylaxe
Schnuller Zahnfehlstellungen Auswirkungen Aufs Gebiss Netdoktor At
Schnuller Ja Oder Nein Auf Was Ist Zu Achten
Schnuller Was Macht Einen Guten Schnuller Aus
Auf Das Lacheln Kommt Es An Das Geheimnis Schoener Zaehne
Praventive Kieferorthopadie Openpr
Kieferfehlstellungen Zahnfehlstellungen Fehlstellung Der Zahne
Dauernuckeln Lasst Milchzahne Schief Wachsen Themen Lokalmatador
Daumenlutschen Zahne Schief Durch Schnuller Kfo Gauting
Eins Zwei Drei Schnullerfrei Mamawahnsinnhochvier
Schiefe Zahne Ursachen Behandlung Hilfe Medlexi De
Silo Tips Download Ddr Catharina Crismani Ddr Sabine Schanzer
Smarter Schnuller Pacif I Uberwacht Gesundheit Des Babys Ingenieur De
Zahnarztpraxis Barenklau Munchen Behandelt Zahnfehlstellung
Schiefe Zahne Wie Sie Entstehen Wieder Gerade Werden Dentolo
Schiefe Zahne Problemzonen Im Kiefer Stern De
Haufige Fehlstellungen
Miss Denti Technische Details Youtube
Zahnfehlstellungen Arten Ursachen Korrekturkosten
Kieferorthopadische Leistungen Zahnarzte In Zwickau Schneider
Kreuzbiss Arten Kreuzbiss Bei Kindern Kreuzbiss Kosten Vermeiden
Stillen Und Karies Still Lexikon
Zahne Schief Numechartstut
Konsument At
Der Uberbiss Das Hilft Wirklich Braceless Unauffallige Zahnbegradigung
Lucke Zwischen Schneidezahnen Und Uberbiss Schiefe Zahne Gesundheit Und Medizin


