Knochentumor Schienbein
Www Ortho Med Tum De Content Osteosarkom
Tumororthopadie
Bildgebung Bei Knochen Und Weichteiltumoren Springerlink
Osteosarkom Wikipedia
Muskuloskelettale Radiologie Helios Klinikum Berlin Buch
Lipom Wikipedia
Das Osteoklastom ist ein halbbösartiger (semimaligner) Knochentumor Zwar zerstört er – wie bösartige Tumore – das umliegende Gewerbe, statt – wie gutartige Tumore – nur verdrängend zu wachsen Aber er bildet nur selten Metastasen ErwingSarkom Das ErwingSarkom ist die aggressivste Form des Knochenkrebses.
Knochentumor schienbein. An artificial knee joint has one part of a femur for attaching to the distal part of a femur and a tibia part for attaching to the proximal part of a tibia The femur is made of aluminium oxide, aluminium dioxide ceramic, zirconium oxide or zirconium dioxide ceramic;. Primäre Knochenkrebs, bei dem ein Tumor im Knochen ist relativ selten Das National Cancer Institute schätzt, gab es weniger als 2600 Fälle von primärem Knochenkrebs in den USA im Jahr 09 bestimmte Arten von Knochenkrebs, wie Osteosarkom, sind bei Kindern und jungen Erwachsenen häufiger. Translator Translate texts with the world's best machine translation technology, developed by the creators of Linguee Linguee Look up words and phrases in comprehensive, reliable bilingual dictionaries and search through billions of online translations.
Das Osteosarkom, auch osteogenes Sarkom genannt, ist der häufigste primäre bösartige Knochentumor, im Volksmund häufig, aber medizinisch nicht ganz korrekt als "Knochenkrebs" bezeichnetSeine proliferierenden Zellen sind fähig, Knochen und Osteoid (unverkalkte Knochengrundsubstanz) zu bilden Das Osteosarkom zeichnet sich durch aggressives Wachstum mit Zerstörung des umliegenden Knochens. Traduzioni di parola FISHER da italiano a tedesco ed esempi di utilizzo di "FISHER" in una frase con le loro traduzioni Miss fisher , non penso proprio che. 4 Tibia – Schienbein (proximal) 5 Tibia – Schienbein (distal) Das Osteosarkom ist durch ein besonders aggressives Wachstum sowie eine hohe Neigung zur Metastasenbildung charakterisiert Eine Heilung ist bis heute nicht möglich.
Ein Osteosarkom kann zwar prinzipiell an jedem Knochen auftreten, am häufigsten betroffen sind jedoch die gelenknahen Abschnitte der langen Röhrenknochen Zum Beispiel die OberschenkelKnochen oberhalb des Kniegelenks Etwas seltener entwickeln sich Osteosarkome im Bereich von Schienbein und OberarmKnochen. Informieren Sie sich über die Ursachen von Knieschmerzen, die von Bänderverletzungen bis zu Arthritis und Bursitis reichen, und erfahren Sie, wie Ärzte die Kniediagnostik behandeln. Das Osteoklastom ist ein halbbösartiger (semimaligner) Knochentumor Zwar zerstört er – wie bösartige Tumore – das umliegende Gewerbe, statt – wie gutartige Tumore – nur verdrängend zu wachsen Aber er bildet nur selten Metastasen ErwingSarkom Das ErwingSarkom ist die aggressivste Form des Knochenkrebses.
Bei ihr wurde im Herbst 11 ein bösartiger Knochentumor im linken Schienbein entdeckt Die anschliessende Chemotherapie griff ihr Herz so stark an, dass man Carina im September 12 an ein. Endgültig zeigt ein Röntgenbild die typischen Veränderungen durch einen Knochentumor Bestehen Zweifel, ob es sich um gut oder bösartige Tumoren handelt, sind zusätzliche Untersuchungen notwendig, zum Beispiel eine Computertomographie ( CT ) oder eine Magnetresonanztomographie ( MRT ). An artificial knee joint has one part of a femur for attaching to the distal part of a femur and a tibia part for attaching to the proximal part of a tibia The femur is made of aluminium oxide, aluminium dioxide ceramic, zirconium oxide or zirconium dioxide ceramic;.
DEA1 DEA DEA DEA1 DE A1 DE A1 DE A1 DE A DE A DE A DE A DE A DE A DE A1 DE A1 DE A1 Authority DE Germany Prior art keywords recess knee joint joint prosthesis locking element characterized Prior art date Legal status (The legal status is an assumption. Schienbein Übersetzung im GlosbeWörterbuch DeutschHebräisch, OnlineWörterbuch, kostenlos Millionen Wörter und Sätze in allen Sprachen. Ursachen Bei Knochentumoren kann meist keine definitive Ursache gefunden werden Gutartige Knochentumore können erblich bedingt sein, die Entstehung bösartiger Tumore kann durch verschiedene Faktoren (z B Strahlung oder Morbus Paget, eine Knochenerkrankung) gefördert werdenDoch meist bleibt es unbekannt, wie bei einem Menschen speziell ein Knochentumor entstanden ist.
Fettleber schienbein flecken Rote Flecken von Lebervergrößerung verursacht September 15 ;. Knochenhautentzündung am Schienbein oder Periostitis Knochenmetastasen Knochentumor Lendenwirbelbruch Olekranonfraktur Operation bei Femurfraktur Operation bei Fraktur der Tibia Operation bei Hüftfraktur Operation einer Oberarmfraktur Osteoporose – Symptome und Behandlung Proximale Radiusfraktur Radiusfraktur Speichenbruch. DET2 DE DET DET2 DE T2 DE T2 DE T2 DE DE DE DE T DE T DE T DE T2 DE T2 DE T2 Authority DE Germany Prior art keywords medial lateral condyle articular femoral component Prior art date 0213 Legal status (The legal status is an assumption and is not a.
Schienbein Übersetzung im GlosbeWörterbuch DeutschHebräisch, OnlineWörterbuch, kostenlos Millionen Wörter und Sätze in allen Sprachen. · Beim Osteosarkom handelt es sich um einen bösartigen Knochentumor Diese Form von Knochenkrebs tritt vorwiegend bei Jugendlichen sowie jungen Erwachsenen · Bei Knochenkrebs hängen die Symptome von diesen drei Eigenschaften des Tumors ab ArtGrößeLageMeist sind Schmerzen an der betroffenen Stelle das erste. Issuu is a digital publishing platform that makes it simple to publish magazines, catalogs, newspapers, books, and more online Easily share your publications and get them in front of Issuu’s.
Bei fast jedem zweiten gutartigen Knochentumor handelt es sich um ein Osteochondrom Es ist der häufigste gutartige Knochentumor überhaupt Sie werden auch als "kartilaginäre Exostosen" bezeichnet, bevor sie verknöchern Osteochondrome bestehen aus Knorpel und Knochengewebe. Gutartige Knochentumoren unterscheiden sich in Ätiologie, Pathogenese und Pathophysiologie Angesichts der zeitlichen Assoziation zum physiologischen Knochenwachstum ist anzunehmen, dass ihr Wachstum durch die gleichen Prozesse mit beeinflusst wird Die meisten benignen Knochentumoren treten sporadisch auf, einige wenige auf dem Boden genetisch bedingter Prädispositionen (z B hereditäre. Bei fast jedem zweiten gutartigen Knochentumor handelt es sich um ein Osteochondrom Es ist der häufigste gutartige Knochentumor überhaupt Sie werden auch als "kartilaginäre Exostosen" bezeichnet, bevor sie verknöchern Osteochondrome bestehen aus Knorpel und Knochengewebe.
Translator Translate texts with the world's best machine translation technology, developed by the creators of Linguee Linguee Look up words and phrases in comprehensive, reliable bilingual dictionaries and search through billions of online translations. Primäre Knochenkrebs, bei dem ein Tumor im Knochen ist relativ selten Das National Cancer Institute schätzt, gab es weniger als 2600 Fälle von primärem Knochenkrebs in den USA im Jahr 09 bestimmte Arten von Knochenkrebs, wie Osteosarkom, sind bei Kindern und jungen Erwachsenen häufiger. Many translated example sentences containing "gutartiger Knochentumor" – EnglishGerman dictionary and search engine for English translations.
Symptome bei Knochenkrebs Welche Symptome bei Knochenkrebs genau auftreten, hängt von der Form der Krebserkrankung und der Lokalisation des Krebsgeschwürs ab Meist weichen die Symptome bei Knochenkrebs von den typischen Beschwerden anderer Krebserkrankungen teilweise ab. Schienbein n 131 General cannonbone Sprungbein n 132 General cannonbone Röhrbein n 133 General bone in Pflöcke einfluchten und nivellieren v 134 General bone entgräten v 135 General bone up (on something) (etwas) büffeln v 136 General bone up on maths Mathe büffeln v 137 General work your fingers to the. A leiomyoma, also known as fibroids, is a benign smooth muscle tumor that very rarely becomes cancer (01%) They can occur in any organ, but the most common forms occur in the uterus, small bowel, and the esophagus.
Ursachen Bei Knochentumoren kann meist keine definitive Ursache gefunden werden Gutartige Knochentumore können erblich bedingt sein, die Entstehung bösartiger Tumore kann durch verschiedene Faktoren (z B Strahlung oder Morbus Paget, eine Knochenerkrankung) gefördert werdenDoch meist bleibt es unbekannt, wie bei einem Menschen speziell ein Knochentumor entstanden ist. Frakturen im Kniebereich (oder Kniefraktur) können folgende Strukturen betreffen Kniescheibe, Oberschenkelknorren (auch Femurkondylen genannt) Schienbeinplateau, Knochenfirst am Schienbein (Eminentia intercondylaris) und Schienbeinbeule (Tuberositas tibiae) Die Verletzungen können durch direkte oder indirekte Krafteinwirkung verursacht werdenSchienbein und Kniescheibenbrüche machen 1%. Holly Spraker, MD und Stephen Lessnick MD, PhD Übersetzt von Cornelia Mutz und Heinrich Kovar, PhD Auch in Chinesisch, Englisch, Französisch, Italienisch, Portugiesisch und Spanisch Was ist ESFT?.
Aktiver Sport auch nach KnochenkrebsOperation möglich Wien (APA) Das EwingSarkom ist ein bösartiger Knochentumor, der bevorzugt in Beinen und Hüfte vorkommt und chirurgisch entfernt werden. Issuu is a digital publishing platform that makes it simple to publish magazines, catalogs, newspapers, books, and more online Easily share your publications and get them in front of Issuu’s. Oberarmknochens in der Nähe der Schulter ist eine häufige Stelle für einige Arten von Knochenkrebs Es gibt viele Anzeichen und Symptome, die verwendet werden, um Knochenkrebs diagnostiziert, aber nicht einer von ihnen allein kann die Krankheit anzugeben.
Request PDF On Jan 1, 10, Jürgen Freyschmidt and others published Knochentumoren mit Kiefertumoren Find, read and cite all the research you need on ResearchGate. A leiomyoma, also known as fibroids, is a benign smooth muscle tumor that very rarely becomes cancer (01%) They can occur in any organ, but the most common forms occur in the uterus, small bowel, and the esophagus. Unter Knochentumoren versteht man alle in knöchernen Geweben vorkommenden Geschwulste Es gibt gut und bösartige Knochentumoren Im Gegensatz zu bösartigen Knochentumoren (Knochenkrebs) ist das Gewebe bei gutartigen Knochentumoren nicht entartet – das heißt, sie ähneln noch den Ursprungszellen und haben ihre grundsätzliche Funktion nicht verloren.
Obwohl es schmerzhaft ist, ist es nicht so schwerwiegend wie eine Knieversetzung, bei der Oberschenkelknochen und Schienbein den Kontakt miteinander verlieren Patellasubluxation (instabile Kniescheibe) In diesem Zustand verläuft die Patella nicht gleichmäßig in ihrer Rille am Femur. ArchäologischerJahresberichte 09 Dienst Graubünden des Archäologischen Dienstes Graubünden und Denkmalpflege Graubünden der Denkmalpflege Graubünden Jahresberichte 09 Poschiavo, Oratorio S Anna Anthropologische Untersuchungen Christina Papageorgo poulou, an den neuzeitlichen Schädeln aus dem Beinhaus Frank Siegmund, Geraldine d’Eyrames, Viviane Roth, LK 1278, 801 713/133 860. Informieren Sie sich über die Ursachen von Knieschmerzen, die von Bänderverletzungen bis zu Arthritis und Bursitis reichen, und erfahren Sie, wie Ärzte die Kniediagnostik behandeln.
Knochenkrebs Schienbein – Erfahrungsbericht der Germanischen Heilkunde Ein Sportler schreibt Angesichts der großen Anzahl von Erfahrungsberichten die ich bislang lesen durfte, möchte ich mein eigenes Schlüsselerlebnis schildern, welches mich vor 10 Jahren zur damals noch Neuen Medizin brachte. Ursachen Bei Knochentumoren kann meist keine definitive Ursache gefunden werden Gutartige Knochentumore können erblich bedingt sein, die Entstehung bösartiger Tumore kann durch verschiedene Faktoren (z B Strahlung oder Morbus Paget, eine Knochenerkrankung) gefördert werdenDoch meist bleibt es unbekannt, wie bei einem Menschen speziell ein Knochentumor entstanden ist. The tibia is a combination of a high density polyethylene sliding/moving part and a seating or bearing of Ti, Ti alloy, a CoCr.
Ein Knochenbruch ist eine der häufigsten Verletzungen, aber gebrochene Beinbeschwerden sind nicht immer offensichtlich Erfahren Sie, wann Sie Spannungs und Kompressionsfrakturen vermuten. 4 Tibia – Schienbein (proximal) 5 Tibia – Schienbein (distal) Das Osteosarkom ist durch ein besonders aggressives Wachstum sowie eine hohe Neigung zur Metastasenbildung charakterisiert Eine Heilung ist bis heute nicht möglich. Translator Translate texts with the world's best machine translation technology, developed by the creators of Linguee Linguee Look up words and phrases in comprehensive, reliable bilingual dictionaries and search through billions of online translations.
A leiomyoma, also known as fibroids, is a benign smooth muscle tumor that very rarely becomes cancer (01%) They can occur in any organ, but the most common forms occur in the uterus, small bowel, and the esophagus. Osteosarkom Der häufigste maligne Knochentumor betrifft meist die Altersgruppe zwischen 10 und 25 Jahren Er tritt in der Hälfte der Fälle knienah in Oberschenkelknochen oder im Schienbein auf Trotz frühzeitiger Streuung von Metastasen überleben mehr als 60 % der Betroffenen mindestens 5 Jahre. Im Jahr 1921 beschrieb James Ewing das Ewing Sarkom (ES) erstmals als "diffuses KnochenEndotheliom" (Ewing 1921).
DET2 DE DET DET2 DE T2 DE T2 DE T2 DE DE DE DE T DE T DE T DE T2 DE T2 DE T2 Authority DE Germany Prior art keywords medial lateral condyle articular femoral component Prior art date 0213 Legal status (The legal status is an assumption and is not a. Knochenkrebs ist eine relativ seltene Erkrankung, bei der unkontrollierten abnormen Zellen im oder am Skelettgewebe, insbesondere Knochen und / oder Knorpel wachsen. · Beim Osteosarkom handelt es sich um einen bösartigen Knochentumor Diese Form von Knochenkrebs tritt vorwiegend bei Jugendlichen sowie jungen Erwachsenen · Bei Knochenkrebs hängen die Symptome von diesen drei Eigenschaften des Tumors ab ArtGrößeLageMeist sind Schmerzen an der betroffenen Stelle das erste.
The tibia is a combination of a high density polyethylene sliding/moving part and a seating or bearing of Ti, Ti alloy, a CoCr. Translator Translate texts with the world's best machine translation technology, developed by the creators of Linguee Linguee Look up words and phrases in comprehensive, reliable bilingual dictionaries and search through billions of online translations. Ein Knochenbruch ist eine der häufigsten Verletzungen, aber gebrochene Beinbeschwerden sind nicht immer offensichtlich Erfahren Sie, wann Sie Spannungs und Kompressionsfrakturen vermuten.
Ewing Sarkom Von Lor Randall, MD, FACS;. Eine vergrößerte LeberBedingung bezeichnet als Hepatomegaliekann durch viele verschiedene Ursachen haben, wie die Leber bei vielen Körperfunktionen beteiligt sind, und in der Regel gibt an Lebererkrankung In vielen Fällen können Sie nicht. Das Osteosarkom, auch osteogenes Sarkom genannt, ist der häufigste primäre bösartige Knochentumor, im Volksmund häufig, aber medizinisch nicht ganz korrekt als "Knochenkrebs" bezeichnetSeine proliferierenden Zellen sind fähig, Knochen und Osteoid (unverkalkte Knochengrundsubstanz) zu bilden Das Osteosarkom zeichnet sich durch aggressives Wachstum mit Zerstörung des umliegenden Knochens.
Gutartige Knochentumoren unterscheiden sich in Ätiologie, Pathogenese und Pathophysiologie Angesichts der zeitlichen Assoziation zum physiologischen Knochenwachstum ist anzunehmen, dass ihr Wachstum durch die gleichen Prozesse mit beeinflusst wird Die meisten benignen Knochentumoren treten sporadisch auf, einige wenige auf dem Boden genetisch bedingter Prädispositionen (z B hereditäre. Ein Knochentumor ist eine Gewebemasse, die sich formt, wenn sich die knochenbildenden Zellen unkontrolliert teilen Eine wachsende Masse kann das gesunde Gewebe durch ein abnormes schwächeres Gewebe ersetzen Der Knochentumor kann verursachen einen Bruch der Knochenbälkchen (Trabekel), aus denen das Knocheninnere besteht, eine Fraktur. Endgültig zeigt ein Röntgenbild die typischen Veränderungen durch einen Knochentumor Bestehen Zweifel, ob es sich um gut oder bösartige Tumoren handelt, sind zusätzliche Untersuchungen notwendig, zum Beispiel eine Computertomographie ( CT ) oder eine Magnetresonanztomographie ( MRT ).
DEC2 DE DEA DEC2 DE C2 DE C2 DE C2 DE DE DE DE A DE A DE A DE C2 DE C2 DE C2 Authority DE Germany Prior art keywords joint femur sliding gradually tibia Prior art date Legal status (The legal status is an assumption and is not a legal conclusion. Bei ihr wurde im Herbst 11 ein bösartiger Knochentumor im linken Schienbein entdeckt Die anschliessende Chemotherapie griff ihr Herz so stark an, dass man Carina im September 12 an ein. Request PDF On Jan 1, 10, Jürgen Freyschmidt and others published Knochentumoren mit Kiefertumoren Find, read and cite all the research you need on ResearchGate.
Obwohl es schmerzhaft ist, ist es nicht so schwerwiegend wie eine Knieversetzung, bei der Oberschenkelknochen und Schienbein den Kontakt miteinander verlieren Patellasubluxation (instabile Kniescheibe) In diesem Zustand verläuft die Patella nicht gleichmäßig in ihrer Rille am Femur.
Bosartige Tumore Des Knochens Knochenkrebs Universitatsklinik Fur Orthopadie
Knochendurchblutungsstorungen Ursachen Diagnose Therapien Orthinform
Bildgebung Bei Knochen Und Weichteiltumoren Springerlink
Knochentumor Wie Ein Sarkom Natalie Aus Dem Leben Riss
Knochenkrebs
Untere Extremitat Tumororthopaedie
Q Tbn And9gcqignlz Rozuystffnwc Ww18dckcec8dugyadycfosdt Fjuud Usqp Cau
Osteochondrom Wikipedia
Operations Galerie Prof Dr Med Christoph Rangger Christophrangger Com
Knochenkrebs Osteosarkom Der Katze Anicura Deutschland
Schmerzen Am Schienbein Behandeln Therapie In Heppenheim
Knochentumoren Burg Apotheke Beilstein
Tumororthopadie
Knochentumor Gutartig
Knochenlasionen Universitatsklinikum Tubingen
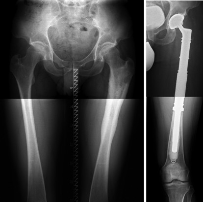
Umkehrplastik Tumororthopaedie
Kindliche Tumoren
Knochenkrebs Focus Arztsuche
Knochen Und Weichteiltumore Ursachen Diagnose Therapien Orthinform
Radiologie Charite De Fileadmin User Upload Microsites M Cc06 Radiologie Radiologie Durchblick 12 November Gebauer 1112 Pdf
Kurettagen Und Auffullung Tumororthopaedie
Primare Bosartige Knochentumoren Knochen Gelenk Und Muskelerkrankungen Msd Manual Ausgabe Fur Patienten
Adamantinom Tumororthopaedie
Knochentumor Wie Ein Sarkom Natalie Aus Dem Leben Riss
Kartilaginare Exostosen Knochenwucherung Schulthess Klinik
Enchondrom Wikipedia
Beinbeschwerden Ohne Gewalteinwirkung
Muskuloskelettale Radiologie Helios Klinikum Berlin Buch
Osteoidosteom
Symptome Bei Knochenkrebs Dkg
Ekchondrom Definition And Synonyms Of Ekchondrom In The German Dictionary
Muskuloskelettale Radiologie Helios Klinikum Berlin Buch
Knochenkrebs Focus Arztsuche
Primare Bosartige Knochentumoren Knochen Gelenk Und Muskelerkrankungen Msd Manual Ausgabe Fur Patienten
Onkologische Interventionen Universitatsklinikum Tubingen
Bosartige Tumore Des Knochens Knochenkrebs Universitatsklinik Fur Orthopadie
Kartilaginare Exostosen Knochenwucherung Schulthess Klinik
Knochenkrebs Osteosarkrom Del Toro Deutsche Doggen Schwarz Und Gefleckt
Diagnose Osteosarkom Beim Hund Bosartiger Tumor Im Knochen Snautz De
Schmerzen Am Schienbein Behandeln Therapie In Heppenheim
Bosartige Tumore Des Knochens Knochenkrebs Universitatsklinik Fur Orthopadie
Q Tbn And9gcrvehyushpnb9nbuu8noepurc4vrnmeetrr7bcc4cgrt2ob Rl Usqp Cau
Gutartige Tumore
Schmerzen Am Schienbein Behandeln Therapie In Heppenheim
Knochen Und Weichteiltumore Ursachen Diagnose Therapien Orthinform
Stressfraktur Oder Marschfraktur Ermudungsbruch Des Knochens Durch Uberlastung Www Gelenk Doktor De
Muskuloskelettaler Schmerz Muskuloskelettaler Schmerz Springermedizin De
Q Tbn And9gcr61fwldd2zjfp Nmo4er8yc2q2gxwprrotllgzjolwv0 Bztfd Usqp Cau
Kartilaginare Exostose Osteochondrom Am Talus Sprunggelenk Www Gelenk Doktor De
Knochenmetastase Wikipedia
Osteochondrom
Osteoidosteom
Unterschied Zwischen Schienbeinbruch Und Schienbeinprellung
Knochen Und Weichteiltumore Ursachen Diagnose Therapien Orthinform
Kurettagen Und Auffullung Tumororthopaedie
Knochenkrebs Sarkome Knochentumoren
Tumororthopadie
Kartilaginare Exostosen Knochenwucherung Schulthess Klinik
Manual Knochentumoren Und Weichteilsarkome Manual Tumorzentrum Munchen Urheberrechtlich Geschutztes Material W Zuckschwerdt Verlag 6 Aufl Pdf Free Download
Knochenkrebs Chondrosarkom Ewing Sarkom Knochenmetastasen Knochentumor Osteosarkom Plasmozytom
Operations Galerie Prof Dr Med Christoph Rangger Christophrangger Com
Schienbeinbruch Dauer Ursache Symptome Therapie Ratgeber
Kartilaginare Exostose Osteochondrom Am Talus Sprunggelenk Www Gelenk Doktor De
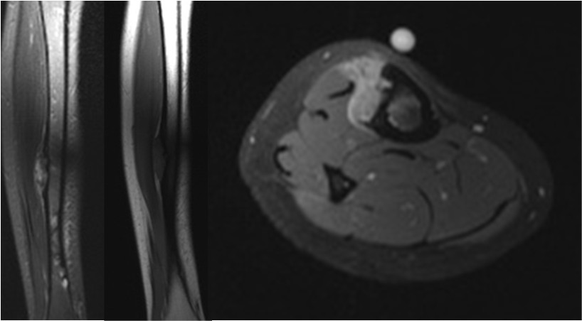
Osteolytische Diaphysare Tibialasion Bei Zunehmendem Dumpfem Dauerschmerz Uber Dem Schienbein Springerlink
Q Tbn And9gctoegg9t2s4asjaiqvcvsqyprjm 4cemadsisd0q Mynyk0wr3u Usqp Cau
Knochenkrebs Symptome Anzeichen Erklart
Osteochondrom
Primare Bosartige Knochentumoren Knochen Gelenk Und Muskelerkrankungen Msd Manual Ausgabe Fur Patienten
Knochenkrebs Osteosarkom Apotheken Umschau
Knochenkrebs Symptome Tumorarten Lebenserwartung Onmeda De
Sprunggelenkschmerzen Schmerzen Im Knochel Gelenk Klinik De
Adamantinom Tumororthopaedie
Knochenmetastasen Symptome Und Diagnostik
Knochenkrebs
Tumororthopadie
Gutartige Knochentumoren Knochen Gelenk Und Muskelerkrankungen Msd Manual Ausgabe Fur Patienten
Gutartige Knochentumoren Knochen Gelenk Und Muskelerkrankungen Msd Manual Ausgabe Fur Patienten
Hashtag Schienbein Sur Twitter
Muskuloskelettale Radiologie Helios Klinikum Berlin Buch
Knochentumor Symptome Metastasen Brust Prostata Schmerzen Hand Therapie
Kurettagen Und Auffullung Tumororthopaedie
Ewing Sarkom Wikipedia
Muskuloskelettale Radiologie Helios Klinikum Berlin Buch
Knochenkrebs Fruhe Diagnose Entscheidend Symptome Behandlung
Beinschmerzen Beim Kind Ursachen Behandlung Vorbeugung Gesundpedia De
Gutartige Tumore
Bildgebung Bei Knochen Und Weichteiltumoren Springerlink
Osteochondrom Wikiwand
Tumororthopadie
Knochenkrebs Symptome Ursachen Und Behandlung Des Krebs
Http Www Klinikum Uni Muenchen De Orthopaedische Klinik Und Poliklinik Download Inhalt Tumororthopaedie Gutartige Knochentumoren Pdf
Gutartige Knochentumoren Knochen Gelenk Und Muskelerkrankungen Msd Manual Ausgabe Fur Patienten
Knochentumoren Knochentumoren Springermedizin De
Osteolytische Diaphysare Tibialasion Bei Zunehmendem Dumpfem Dauerschmerz Uber Dem Schienbein Springerlink
Umkehrplastik Tumororthopaedie
Knochenkrebs Fruhe Diagnose Entscheidend Symptome Behandlung
Osteochondrom
Enchondrom Wikipedia


